Neueste MRT Technologie von Canon Medical Systems
ORIAN
Der Vantage ORIAN ist ein moderner 1,5 Tesla Premium Magnetresonanztomograph. Es handelt sich um die Erstinstallation in Deutschland mit neuester Technik. Als Referenzzentrum wird dieser hohe Standard fortlaufend aufrecht erhalten.
Der ORIAN erhöht durch seinen großzügigen Patientenzugang von 71 cm erheblich die Patientenfreundlichkeit, ohne Kompromisse bei der Bildqualität einzugehen.
Das Pianissimo System verringert die akustische Belastung bei allen Sequenzen, wodurch ein weiterer Stressfaktor vermindert wird.
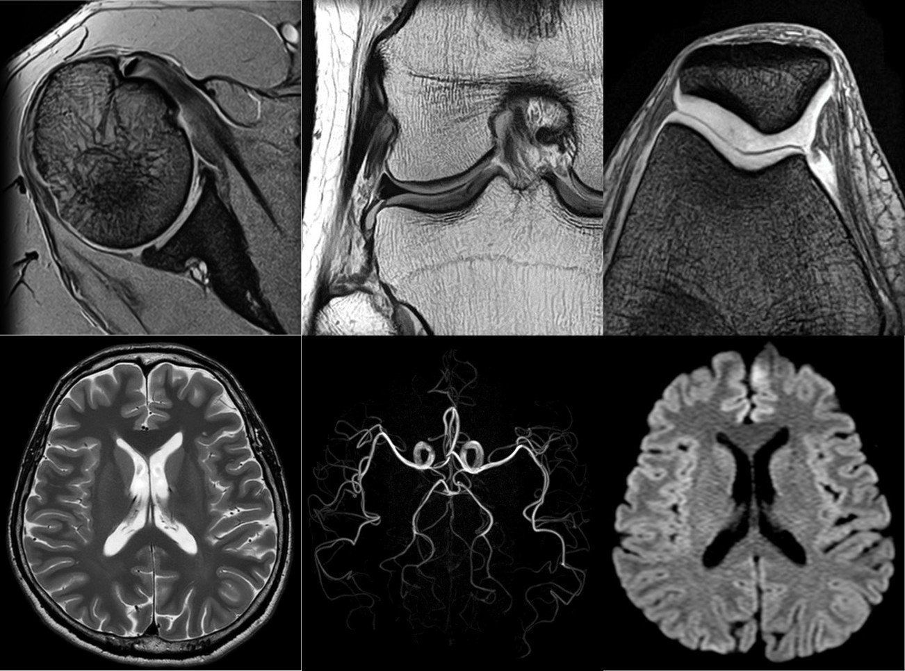
Bei bestimmten Fragestellungen des Kopfes können die Untersuchungsgeräusche zusätzlich durch ZEN Technik annähernd auf das Niveau eines normalen Umgebungsgeräusches gesenkt werden.
Durch seine leistungsfähigen Gradienten ist er für anspruchsvolle klinische Aufgaben geeignet.
Hervorzuheben ist die Möglichkeit kontrastmittellose Angiographien beispielsweise bei eingeschränkter Nierenfunktion oder allergischer Veranlagung durchführen zu können.
Durch Verwendung einer neuen Technologie vermindert der neue MRT den Energieverbrauch um bis zu 21% gegenüber Geräten älterer Bauart.

